fbpx

Dental Health

Radiographs

Radiographs Compressed

Standard X-ray Frequency Guidelines: What to Expect

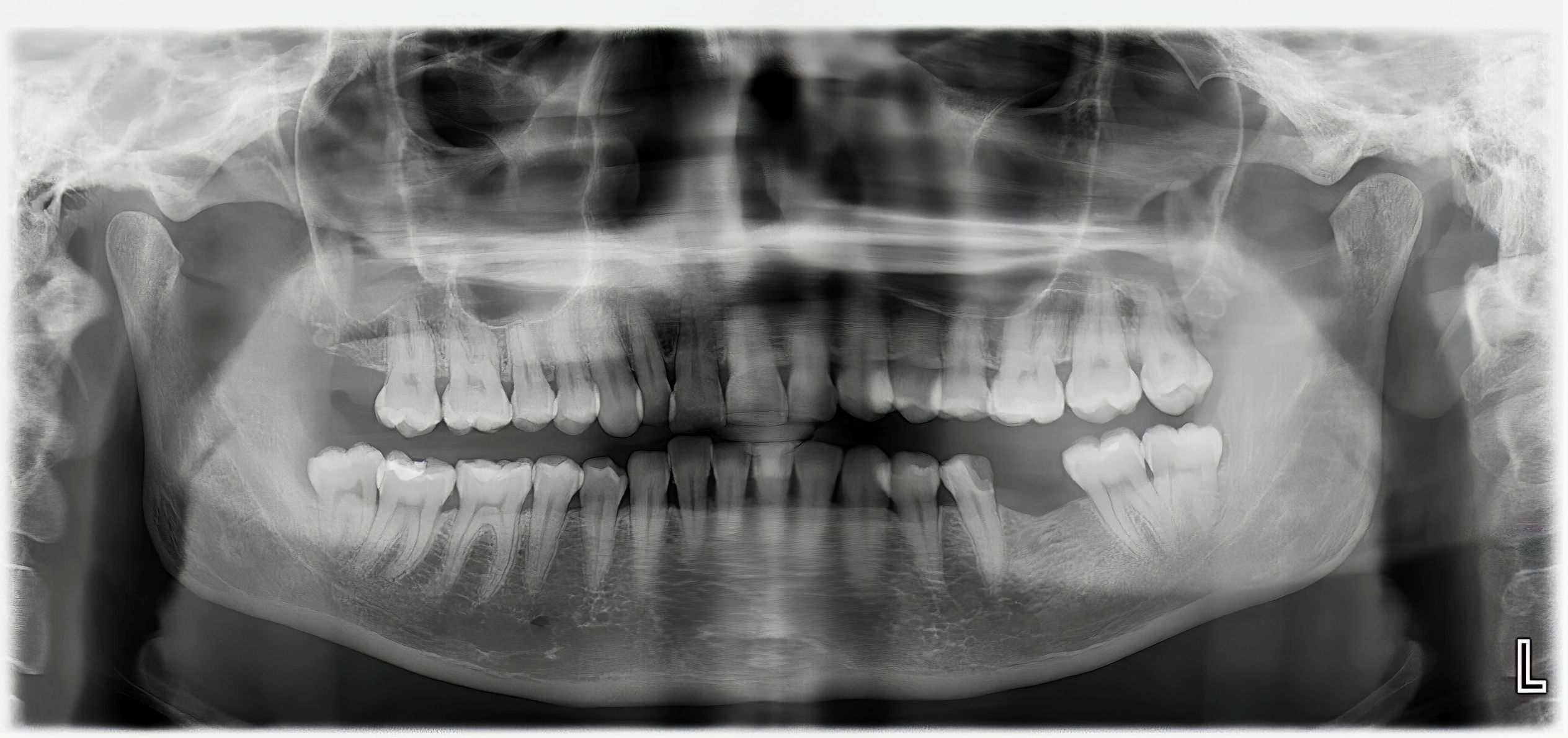
When you first visit a new dentist, they’ll typically recommend a comprehensive baseline examination, including a full mouth series or panoramic X-ray, along with bitewing X-rays. This initial set creates a complete picture of your oral health and serves as a reference point for future visits.

For adult maintenance, healthy patients generally need bitewing X-rays every 12-18 months, with a full mouth series recommended every 3-5 years. However, this schedule may be adjusted based on your oral health history and current conditions.

Children require special consideration in X-ray scheduling. Most dentists begin taking X-rays when the child’s baby teeth start touching, typically around age 4-6. During cavity-prone years and periods of rapid development, more frequent imaging helps monitor tooth emergence and identify potential problems early. Panoramic X-rays become particularly important during orthodontic planning phases.
Certain risk factors may necessitate more frequent X-rays. These include a history of extensive decay, gum disease, smoking, dry mouth conditions, diabetes, or numerous existing dental work. Your dentist will assess these factors to create a personalized imaging schedule that balances diagnostic needs with radiation exposure considerations. The American Dental Association’s guidelines serve as a framework, but your specific schedule will depend on your individual oral health needs.